About the center
NATIONAL METHAMPHETAMINE TRAINING & TECHNICAL ASSISTANCE CENTER
About the center
About the center
Images from the battle against meth

Photos used on the home page scrolling sequence come from a variety of sources and represent some of the many aspects of the nation's war on meth. Included are:




RECOVERY:
This photo from the "Faces of Hope" project at New LIfe: Mission Possible shows the difference in a young woman's life on meth and after recovery.
ADDICTION:
The Multnomah (Ore.) County Sheriff's Office created its "Faces of Meth" project from mug shots of repeat offenders as their condition worsened over the years.
RESCUE:
Police take baby away from a meth-saturated home. Photo by Sgt. Jim Gerhardt, North Metro Drug Task Force, CO
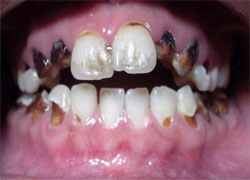
METH MOUTH:
This photo of a meth addict's rotted teeth has appeared on several websites.
METH:
The Drug Enforcement Administration provided photos of several types of methamphetamine and its use.