Methamphetamine is among the most addictive substances on the planet. Some people are hooked after just one use. Here are some of the most common risks from long-term meth use:
Downhill spiral includes nearly every part of the body
Psychiatric symptoms
Depression
Violent behavior
Obsessive/compulsive behavior
Irritability
Anxiety
Paraonia
Hallucinations (seeing things,
  hearing voices, "meth bugs"
  under the skin)



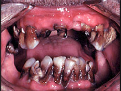
Dental problems
Stained teeth
Cavities
Broken teeth

Cardiac / pulmonary
Hypertension
Aneurysm
Coronary syndrome
Narrowing of blood
   vessels
Pulmonary edema
Stroke
Heart attack
Other troubles
Increased risk of HIV or other STDs
Depressed immune system
Dehydration
Seizure


About the center
Nationwide epidemic
Nationwide epidemic
NATIONAL METHAMPHETAMINE TRAINING & TECHNICAL ASSISTANCE CENTER
INSIDE THE EPIDEMIC
THE LONG-TERM IMPACT
                    Video: Former users tell their stories